Vieni a conoscere i nostri dentisti a Gallarate
Lo Studio Dentistico Moro Amorfini, situato a Gallarate, è un punto di riferimento per chi cerca eccellenza e professionalità in ambito odontoiatrico. Scegliere lo Studio Dentistico Moro Amorfini di Gallarate significa affidarsi a un team con decenni di esperienza, che unisce competenza e aggiornamento costante sulle tecniche più avanzate. Offriamo un approccio personalizzato per ogni paziente, ascoltando attentamente le sue esigenze e utilizzando tecnologie moderne per garantire trattamenti precisi e sicuri. Il nostro obiettivo è prendersi cura non solo del sorriso, ma del benessere complessivo della bocca, attraverso servizi di alta qualità come ortodonzia, implantologia, chirurgia orale e igiene dentale.

LA FILOSOFIA DEL NOSTRO STUDIO DENTISTICO A GALLARATE
Gli obiettivi dei nostri trattamenti sono sempre la funzione, l’estetica, la durata, la soddisfazione del paziente. Riteniamo sia fondamentale dedicare il giusto tempo per capire quali siano le soluzioni più adatte ad ogni singolo caso.
Il nostro operato non è mai standardizzato ma studiato approfonditamente in modo individualizzato e condiviso con il paziente. Valutiamo la situazione clinica, le aspettative e le varie opzioni di trattamento disponibili, fermo restando la qualità, la dedizione, l’impegno di tutto il Team.

LO STUDIO
Lo studio, aperto dal dr Alessandro Moro nel 1955, oggi ha due titolari, il Dr.Corrado Moro e il Dr. Leonardo Amorfini.
Insieme hanno proseguito l’attività dello studio il cui obiettivo primario è la cura globale del paziente attraverso un continuo aggiornamento ed utilizzo di tecniche d’avanguardia.
Il Dr. Moro si laurea nel 1985 in Odontoiatria e Protesi dentaria presso l’Università degli studi di Milano. Completa nel 2002 il corso biennale di Occlusione e Ortodonzia con il dr Ronald Roth.
Il Dr. Amorfini si laurea nel 2003 in Odontoiatria e Protesi dentaria presso l’Università degli studi di Milano. Completa corsi post laurea presso le Università di Boston, Vienna e New York. Specializzato nel 2013 in Chirurgia e implantologia presso l’Università di Milano.
TEAM
Svolge la libera professione a Gallarate presso lo Studio Medico Odontoiatrico dr Moro Dr Amorfini dove si occupa principalmente di ortodonzia, gnatologia e riabilitazioni complesse multidisciplinari. Laurea in ODONTOIATRIA E PROTESI DENTARIA presso l’ UNIVERSITA’ DEGLI STUDI MILANO nel 1985 Socio Ordinario SIDO, Società Italiana di Ortodonzia Membro della Roth and Williams International Society
Ha conseguito la laurea in Odontoiatria e Protesi Dentaria presso l'Università degli Studi di Milano nel 2003, con lode e menzione accademica, presentando una tesi sperimentale sugli impianti dentali di dimensioni ridotte. Ha intrapreso la specializzazione in Chirurgia Odontostomatologica presso la stessa università nel 2011. È relatore a congressi nazionali e internazionali di implantologia e pubblica articoli scientifici su riviste specializzate in chirurgia rigenerativa avanzata e implantologia.
Dr. Corrado Moro
Titolare - Odontoiatra
Socio dello studio, impegnato anche in attività di formazione
Dr. Leonardo Amorfini
Titolare - Odontoiatra, Spec. Chirurgia Orale
Socio dello studio, impegnato anche in attività di formazione
Elena Dr.ssa Piccardo
Igienista Dentale
Collaboratrice dello studio, si occupa di igiene e prevenzione
Debora Dr.ssa Moalli
Igienista Dentale
Collaboratrice dello studio, si occupa di igiene e prevenzione
Stefano Dr. Scamoni
Medico Chirurgo Spec. Chirurgia Plastica
Collaboratore dello studio
Francesca Dott.ssa Rossi
Agopuntura e Psicoterapia
Collaboratrice dello studio
Tiziana Chioatto
Assistente alla Poltrona
Al servizio dei pazienti dello studio
Katia Piccolo
Assistente alla Poltrona
Al servizio dei pazienti dello studio
Sonia Musso
Assistente alla Poltrona
Al servizio dei pazienti dello studio
Valentina Marococcia
Assistente alla Poltrona
Al servizio dei pazienti dello studio
LE NOSTRE ECCELLENZE
I NOSTRI SERVIZI
Ortodonzia
Ortodonzia
Implantologia
Implantologia
Igiene Orale
Igiene Orale
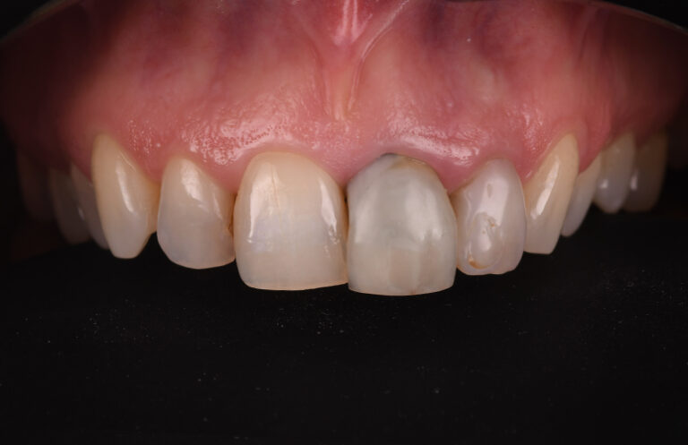
Faccette
Faccette
Endodonzia
Endodonzia
Conservativa
Conservativa
Parodontologia
Parodontologia
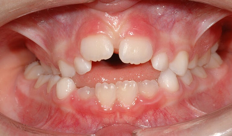
Pedodonzia
Pedodonzia
Protesi
Protesi
Sbiancamento
Sbiancamento
Gnatologia
Gnatologia
Odontoiatria sportiva
Odontoiatria Sportiva
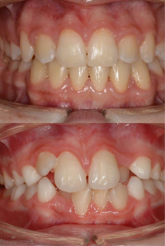
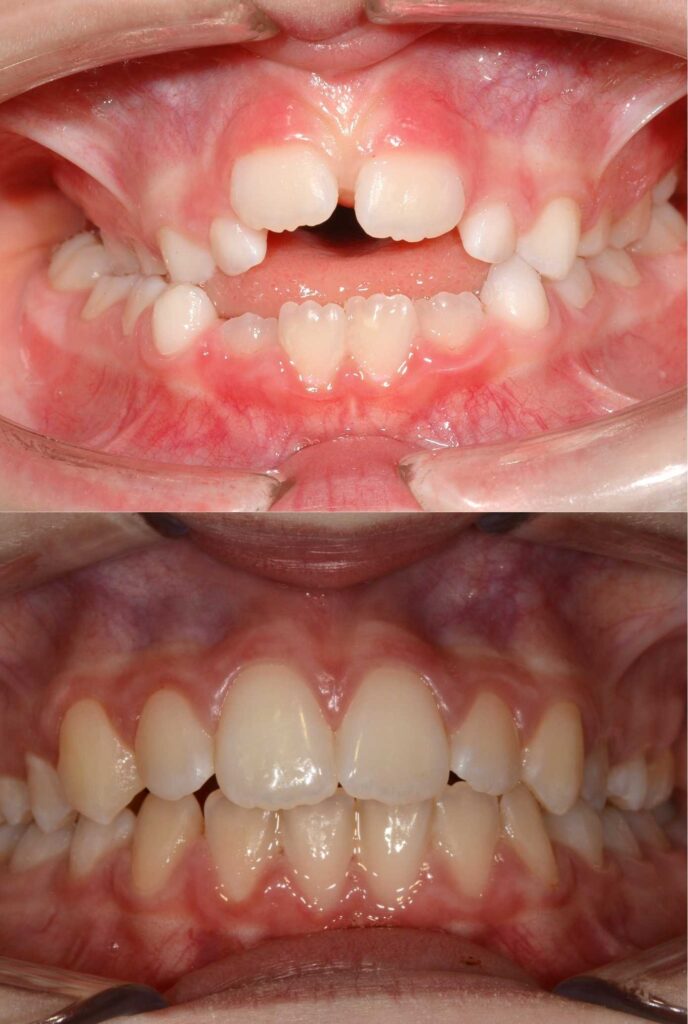
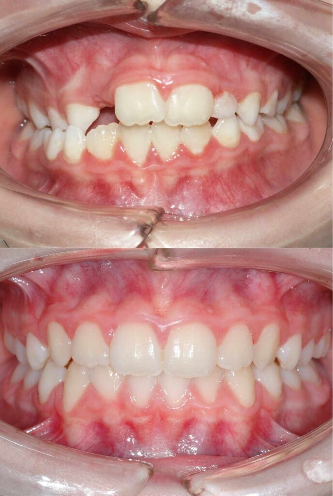
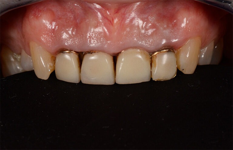
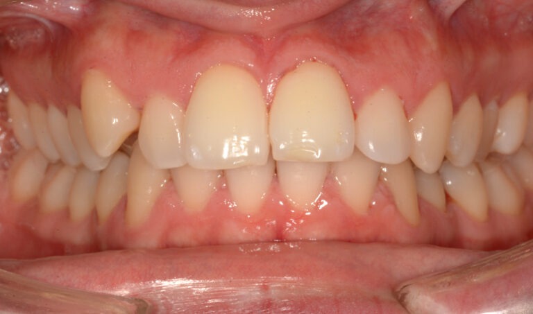
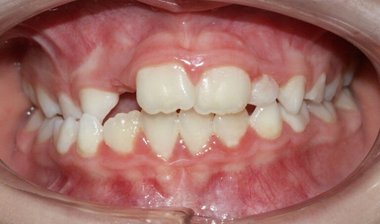
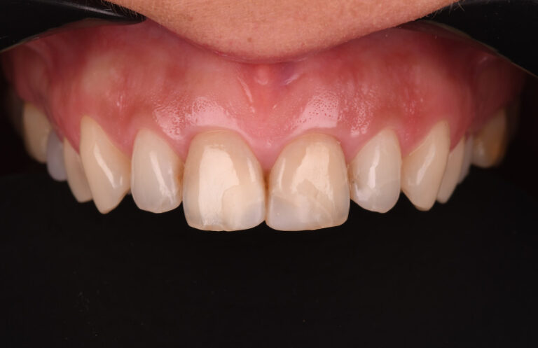
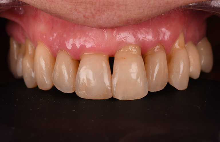
PRIMA E DOPO






Cosa pensano di noi i nostri pazienti
TECNOLOGIE
L'ortopantomografia, o radiografia panoramica, è un esame radiologico che consente di studiare i denti, le ossa alveolari e la mandibola, rilevando malformazioni dentarie, lesioni ossee, infiammazioni, cisti o tumori. Durante la procedura, il tubo radiografico e la cassetta ruotano intorno alla testa del paziente, raccogliendo i dati in pochi secondi. Questo esame può essere affiancato dalla teleradiografia latero-laterale, una radiografia extra-orale che visualizza l'intera struttura ossea cranica di profilo, utile per l’analisi cefalometrica e per fornire dettagli su denti, ossa e tessuti molli. Entrambi gli esami sono fondamentali nella fase preliminare dei trattamenti ortodontici.L'ortopantomografia, o radiografia panoramica, è un esame radiologico che consente di studiare i denti, le ossa alveolari e la mandibola, rilevando malformazioni dentarie, lesioni ossee, infiammazioni, cisti o tumori. Durante la procedura, il tubo radiografico e la cassetta ruotano intorno alla testa del paziente, raccogliendo i dati in pochi secondi. Questo esame può essere affiancato dalla teleradiografia latero-laterale, una radiografia extra-orale che visualizza l'intera struttura ossea cranica di profilo, utile per l’analisi cefalometrica e per fornire dettagli su denti, ossa e tessuti molli. Entrambi gli esami sono fondamentali nella fase preliminare dei trattamenti ortodontici.
La sedazione cosciente è una condizione di alterata coscienza durante la quale il paziente si trova in uno stato di comfort e di tranquillità, ma al tempo stesso risponde agli stimoli tattili e verbali del medico.
Generalmente affidata al medico anestesista, questa tecnica di sedazione è ottenuta tramite la somministrazione per via endovenosa di farmaci che esercitano la loro azione sul sistema nervoso centrale.
A fine intervento il paziente emerge rapidamente dalla sedazione farmaco-indotta e, in circa 10-15 minuti, è in grado di muoversi autonomamente.
La progettazione digitale del sorriso è una tecnica che permette ai dentisti di creare una simulazione del sorriso ideale del paziente usando foto, video e scansioni digitali. Con un software speciale, il dentista modifica digitalmente i denti per mostrare al paziente come sarà il risultato finale. Questo approccio aiuta a pianificare il trattamento in modo preciso e personalizzato, migliorando la comunicazione e la soddisfazione del paziente.
Il nostro blog

Come Funziona Apparecchio Fisso: Guida Completa
Scopri come funziona apparecchio fisso per raddrizzare i denti e migliorare il sorriso. Approfondisci con il nostro articolo completo!

Come Curare la Parodontite: Una Guida Completa
Scopri come curare la parodontite con trattamenti efficaci e sicuri presso lo Studio Moro Amorfini. Leggi di più!

Faccette Dentali: Quando e Come Applicarle
Scopri tutto sulle faccette dentali, dai benefici alla durata. Prenota una visita presso lo Studio Moro Amorfini per saperne di più.